Hepato Pankreato Biliyer Cerrah Prof. Dr. Mustafa Keremin web sitesine hoş geldiniz!

Telefon

+90 530 819 14 96
+994 51 657 91 53

Pazartesi - Cuma

9:00 - 16:00

E-posta

info@drmustafakerem.com

Safra kesesi kanseri

Awesome Image

Safra kesesi kanseri

Safra kesesinde başlayan kanserdir. Safra keseniz karın bölgesinin hemen altında, karnınızın sağ tarafında küçük, armut şeklinde bir organdır. Safra kesesi, karaciğeriniz tarafından üretilen bir sindirim sıvısı olan safrayı depolar. Safra kesesi kanseri nadir olarak görülür.

Safra kesesi kanseri en erken evrelerinde keşfedildiğinde, tedavi şansı çok iyidir. Ancak çoğu safra kesesi kanserinin prognozu genellikle çok zayıf olduğunda geç bir aşamada keşfedilmektedir. Safra kesesi kanserinin teşhis edilmesi zordur, çünkü sıklıkla belirgin bir belirti veya semptom göstermez. Ayrıca, safra kesesinin nispeten gizli yapısı, safra kesesi kanserinin saptanmadan büyümesini kolaylaştırır.

Belirtiler

  • Karın ağrısı
  • Özellikle karın sağ üst kısmında swelling
  • Ateş
  • İstenmeyen kilo vermek
  • Bulantı
  • Cildin ve gözlerin beyazlarının sararması (sarılık)
Awesome Image

Ne zaman doktora görünmek gerekir?

Yukarıdaki herhangi bir belirti veya semptom varsa, doktorunuzla görüşün.

Nedenler

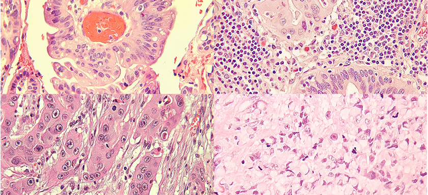
Safra kesesi, kanserine neyin neden olduğu net değil değildir. Doktorlar safra kesesi kanserinin, sağlıklı safra kesesi hücrelerinin DNA'larında değişiklikler (mutasyonlar) geliştirdiklerinde oluştuğunu bilirler. Bu mutasyonlar hücrelerin kontrolden çıkmasına ve normal olarak diğer hücreler ölünce yaşamaya devam etmesine neden olur. Biriken hücreler, safra kesesinin ötesine geçebilen ve vücudun diğer bölgelerine yayılabilen bir tümör oluşturur. Çoğu safra kesesi kanseri, safra kesesinin iç yüzeyini hizalayan glandüler hücrelerde başlar. Bu tip hücrelerde başlayan safra kesesi kanserine adenokarsinom adı verilir. Bu terim, bir mikroskop altında incelendiğinde kanser hücrelerinin ortaya çıkış şekline değinmektedir.

Risk faktörleri

Safra kesesi kanseri riskini artırabilecek faktörler şunlardır:

  • Cinsiyet: Safra kesesi kanseri kadınlarda daha yaygındır.
  • Yaş: Yaşlandıkça safra kesesi kanseri riskiniz artar.
  • Safra taşı varlığı hikayesi: Safra kesesi kanseri, geçmişte safra kesesi taşı olan kişilerde daha yaygındır.
  • Diğer safra kesesi hastalıkları: Safra kesesi kanseri riskini artırabilen diğer safra kesesi rahatsızlıkları safra kesesi poliplerini ve kronik safra kesesi enfeksiyonunu içermektedir.
Awesome Image

Tedavi

Safra kesesi kanserinin tedavisi cerrahidir. Kanserin evresine göre karar verilir. Çok erken evrelerde safra kesesi taşı nedeniyle ameliyat sonrası tanı konan hastalara başka bir işlem gerekmez iken, evre 2 ve 3’de radikal cerrahi yapılır. Safra kesesi kanseri yayılmış ise cerrahi işlemin faydası olmaz

Kazandığım Ödüller

Emek vermeden bir şeye ulaşmayı düşünmek, hayalperestlikten başka bir şey değildir!

Awesome Image Awesome Image