Hepato Pankreato Biliyer Cerrah Prof. Dr. Mustafa Keremin web sitesine hoş geldiniz!

Telefon

+90 530 819 14 96
+994 51 657 91 53

Pazartesi - Cuma

9:00 - 16:00

E-posta

info@drmustafakerem.com

Pankreas kanseri

Awesome Image

Pankreas kanseri

Pankreas kanseri, 2003 yılında teşhis edilen ve 5 Ekim 2011'de öldüğü Apple'ın kurucu ortağı Steve Jobs da dahil olmak üzere birçok tanınmış figürün tanısından dikkat çekmiştir. Steeve Jobs hastalığın nadir bir formu olan bir adacık hücresi nöroendokrin tümörüne sahipti. Tedavisi oldukça radikal bir şekilde yapıldı.


Pankreas nedir?

Pankreas karın arkasında yer alan, 6 inç uzunluğunda süngerimsi, tüp şeklinde bir organdır. Pankreasın iki önemli görevi vardır: bağırsakların yiyecekleri parçalamasına yardımcı olan sindirim suları (enzimler) yapmak ve vücudun şeker ve nişasta kullanımını düzenleyen hormonlar (insülin dahil) üretmek. Pankreas kanseri, malign (kanserli) hücreler büyüdüğünde, böldükten ve pankreas dokularında yayıldığında oluşur.

Awesome Image

Pankreas kanserinin belirtileri

Pankreatik kansere "sessiz" bir hastalık denir, çünkü şikayetler tipik olarak erken evrelerde ortaya çıkmaz. Ancak kanser büyüdükçe ve yayıldıkça, ağrı genellikle üst batıda gelişir ve bazen sırtına yayılır. Kişi yedikten ya da yattıktan sonra acı daha da kötüleşebilir. Diğer belirtiler arasında sarılık, bulantı, iştahsızlık, kilo kaybı, yorgunluk ve güçsüzlük sayılabilir.

Awesome Image

Pankreas kanserinin nedenleri

Gerçek nedeni bilinmemesine rağmen sigara bilinen en önemli risk faktörlerinden biridir. Sigara içenlerde içmeyenlere göre iki kat fazla pankreas kanseri görülür. Hastalık genelde 45 yaş ve üzerinde geçer. Diyabet bazen hastalığın belirtisi olabileceği gibi bazende hastalık sonrası ortaya çıkabilir. Alkol yine risk faktörlerinden biri olarak görülmektedir. Çok sıkı alkol tüketenlerde kronik pankreatit olma ihtimali çok yükselir. Kronik pankreatitli hastalarda ise pankreas kanser oranı 7 kat artar. Ailede pankreas kanseri varlığı, yüksek yağ tüketimi ve sedanter (tembel) yaşam tarzı yine pankreas kanserine neden olan faktörler arasındadır.

Awesome Image

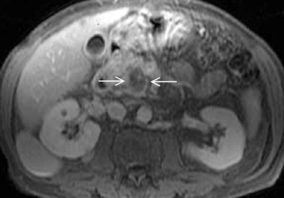
Pankreas kanserinin tanısı

Eskiden pankreas kanseri tanısı koymak oldukça güçtü. Doktorlar görerek veya muayene ederek bu tanıyı koyamazlar. Pankreas kanseri şüphesi olan hastalara önce görüntüleme yöntemleri (MR, CT, Ultrasonografi) yapılır ve ilave tetkikler istenir. Günümüzde en güvenilir yöntem kaliteli yapılmış Bilgisayarlı Tomografi (BT) ve gerektiğinde Manyetik Rözonans (MR) görüntüleme sistemleridir.

Awesome Image

Pankreas kanserini önlemek mümkün mü?

Eskiden pankreas kanseri tanısı koymak oldukça güçtü. Doktorlar görerek veya muayene ederek bu tanıyı koyamazlar. Pankreas kanseri şüphesi olan hastalara önce görüntüleme yöntemleri (MR, CT, Ultrasonografi) yapılır ve ilave tetkikler istenir. Günümüzde en güvenilir yöntem kaliteli yapılmış Bilgisayarlı Tomografi (BT) ve gerektiğinde Manyetik Rözonans (MR) görüntüleme sistemleridir.

Pankreas kanseri olmak istemiyorsanız:

  • Sigara içiyorsanız derhal bırakın
  • Diyetinizdeki yağları çıkartın
  • Pasif ve sedanter, tembel bir yaşam tarzınız varsa derhal harekete geçin
  • Şişmanlıktan kurtulun
Awesome Image

Pankreas kanseri tedavisi ile ilgili bilgiye erişmek için tıklayın!

Kazandığım Ödüller

Emek vermeden bir şeye ulaşmayı düşünmek, hayalperestlikten başka bir şey değildir!

Awesome Image Awesome Image