Hepato Pankreato Biliyer Cerrah Prof. Dr. Mustafa Keremin web sitesine hoş geldiniz!

Telefon

+90 530 819 14 96
+994 51 657 91 53

Pazartesi - Cuma

9:00 - 16:00

E-posta

info@drmustafakerem.com

Karaciğer kanseri tedavisi

Awesome Image

Cerrahi veya karaciğer nakli

Tedavide evre, hastanın yaşı, genel sağlık durumu, karaciğerin yapısı önemlidir. Eğer kanser diğer organlara yayılmamış ise ve karaciğerde başka bir hastalık söz konusu değilse

  • Tümörün cerrahi ile çıkarılması: Eğer tümörün lokasyonu ve hastanın durumu uygunsa laparoskopik olarak yapılabilir.
  • Karaciğer bağışı yapacak birileri varlığı durumunda nakil yapılması

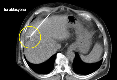
Ablasyon

Kanserli dokuyu değişik yöntemlerle öldürme tekniğidir:

  • Alkol: Tümörün içine saf alkol enjeksiyonu yapılır
  • Dondurma (Kriyoterapi): İnce uçlu iğne kullanılarak tümör hücreleri dondurulur
  • Yakma: Mikrodalga veya radyofrekans (RF) kullanılarak tümör hücreleri yakılabilir
Awesome Image

Embolizasyon

Karaciğer iki büyük farklı damardan kan alır. Bunlar portal toplayıcı sistem ve karaciğerin ana atar damarı olan hepatik arterdir. Tümörlerin büyük bir kısmı hepatik arterden beslenir. İnce bir tel ile bu damara ulaşıp, tümöre giden damarlar tıkanarak yapılan tedaviye embolizasyon denir. Kemoterapi ilaçları veya radyasyon baloncukları kullanılarak yapılan işlemeler ise kemo-embolizasyon veya radyo-embolizasyon denir. Etkinlikleri tümörün tipi ve büyüklüğüne göre değişkendir.

Awesome Image

Odaklanmış tedavi (Targeted therapy)

Kanser hücreleri normal hücrelerden farklı olarak çalışır. Odaklanmış tedavi bu farklılık kullanılarak kanser hücrelerini öldüren tedavi türüdür. Bunlar genelde tümörü besleyen damarları azaltarak, kanserli dokuyu öldürürler.

Awesome Image

Karaciğer kanseri önlenebilir mi?

Hayır, ancak karaciğer kanseri riskini azaltabiliriz:

  • Hepatit B Aşısı yaptırın
  • Sağlıklı kiloda kalın, diyetinize dikkat edip, düzenli egzersiz yapın
  • Alkol miktarını azaltın: en fazla kadınlar için günde bir, erkekler için iki
  • Damar içi ilaç veya madde kullanmayın
  • Tatto ve piercingi sadece çok güvenli yerlerde yaptırın
  • Hepatit C seks yoluyla geçebildiğinden güvenli seks hayatını tercih edin
Awesome Image

Karaciğer kanseri ile ilgili bilgi almak için tıklayın!


Karaciğer kanseri ile bağlı Sıkça Sorulan Soruları okumak tıklayın!

Kazandığım Ödüller

Emek vermeden bir şeye ulaşmayı düşünmek, hayalperestlikten başka bir şey değildir!

Awesome Image Awesome Image