Hepato Pankreato Biliyer Cerrah Prof. Dr. Mustafa Keremin web sitesine hoş geldiniz!

Telefon

+90 530 819 14 96
+994 51 657 91 53

Pazartesi - Cuma

9:00 - 16:00

E-posta

info@drmustafakerem.com

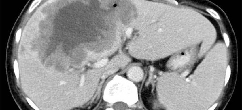
Karaciğer metastazı tedavisi

Awesome Image

Karaciğer metastazı tedavisi

Tedavide çeşitli seçenekler vardır. Ancak hastaların çoğunda rahatlatıcı tedaviler ön planda uygulanır. Bunun anlamı aslında yapılan işlemin hastanın hayatta kalma sürecini uzatmaktan ziyade, mevcut olan şikayetlerinin azaltılarak hayat kalitesini yükseltmek demektir.

Hangi tedavi seçeneğinin uygulanacağı aşağıdakilere göre belirlenebilir:

  • Hastanın yaşı ve genel sağlık durumu
  • Metastazın sayı, büyüklüğü ve yerleşimi
  • Kanserin köken aldığı organ: Kalın barsak ve rektum tümörlerinde cerrahi
  • Hastanın kanser tedavi öyküsü

Sistemik tedaviler

Kanserli dokuyu değişik yöntemlerle öldürme tekniğidir:

  • Kemoterapi
  • Biyolojik tedaviler (Biological Response Modifier, BRM)
  • Odaklanmış (Targeted) tedaviler
  • Hormonal tedaviler
Awesome Image

Lokal (bölgesel) tedaviler

  • Işın (radyasyon)
  • Radyo Frekans Ablasyon (RF): Kanserli bölgenin yakılması

Cerrahi

Özellikle kolorektal (kalın barsak) kanserlerinin karaciğer metaslarında etkin olan yöntemdir. Cerrahi kararı verirken en önemli belirteç, cerrahi sonrası hastada kalacak olan karaciğer dokusunun yetmesidir.

Eğer bu yeterli olacaksa ve hastanın genel sağlık durumu uygunsa cerrahi tedavi en iyi seçenektir. Hangi cerrahi yöntemin yapılacağı metastazın durumuna göre belirlenir.

Awesome Image

Karaciğer Metastazları ile ilgili bilgi almak için tıklayın!


Karaciğer kanseri ile bağlı Sıkça Sorulan Soruları okumak tıklayın!

Kazandığım Ödüller

Emek vermeden bir şeye ulaşmayı düşünmek, hayalperestlikten başka bir şey değildir!

Awesome Image Awesome Image